患者在进行磁共振检查前,不仅要过金属安检门,还要被医生反复询问是否携带有金属物品、体内有没有金属植入物?为什么做个磁共振检查,医生要对患者“金金计较”?
磁共振成像(MRI)检查是目前临床上普遍应用的影像检查技术。与X线摄片及CT检查相比,MRI无电离辐射,被认为是一种较安全的影像检查方法之一。但做 MRI 检查对医护人员、受检者、陪同家属是有一定的要求和限制:金属物品不得带入MRI检查室内,受检者体内金属植入物必须告知工作人员,得到许可方可进入。不然会造成以下后果:
1、严重医疗事故和机器损毁(例如,轮椅被吸入磁共振机)
2、产生伪影从而影响诊断
3、物品升温,灼伤皮肤。
有人会问:机器还没运转,检查都没开始,是不是可以先把轮椅或金属拐杖送进 MRI 机房再拿出来呢?
答:绝对不可以!!机架内的磁体超导电流没有断,所以磁性吸力一直存在,决不能贸贸然将金属物品带进MR机房内。
除此以外,还有一些大家都比较关心的问题,让我们一起了解一下吧!
有种植牙可以做磁共振检查吗?
答:可以的。
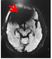
由于种植牙已固定在牙槽骨上或黏合在相应的连接物上,具有很高的牢固度,通常在3.0T(含) 以下场强的MRI设备中不会发生移动和变形,所以不用担心你的牙齿会被吸飞了哦,但在牙科植入物所在的部位可能会出现一些伪影。 像下图这样:


但是如有可拆卸的假牙或者金属牙箍,建议MRI检查时取下,不然影像可能会和下面图像一样,黑乎乎的一片,什么都看不见,这种情况就要影响诊断了。


有人工耳蜗可以做磁共振吗?
答:不可以。
磁场与人工耳蜗植入体内的磁铁有一定的相互作用力,这种相互作用会产生各种各样的问题,比如磁铁迁移、改变磁铁强度或极性、人工耳蜗被损伤、伤口裂开等。
体内与钢钉钢板可以做磁共振吗?

答:可以的。
骨科植入物 (如钢板、钢针、螺钉以及各种人工关节等) 已广泛应用于骨关 节损伤和相关的骨科矫形手术中。这些植入物大多呈非铁磁性或少量弱磁性,由于在术中已被固定在骨骼、韧带或肌腱上,通常不会移动。但植入物可能会产生图像伪影,影响周围组织的观察。

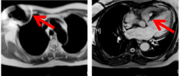
有冠状动脉与外周血管支架可以做磁共振吗?
答:可以的。
美国心脏协会专家共识中指出,几乎所有市面上的冠状动脉支架产品在做MRI检查时都是安全的,可在3.0T(含) 以下的MRI设备上进行检查。2007 年前的外周动脉支架可能存在弱磁性,但通常认为在手术 6 周后也可以进行MRI检查。
有心脏植入式电子设备可以做磁共振检查吗?
答:不可以。
目前临床上应用的绝大多数心脏植入式电子设备都不能与MRI设备兼容。
装有心脏起搏器和除颤仪的患者进行MRI检查时,设备内置程序可能发生意 想不到的变化:① 比如起搏器输出被抑制、不能起搏、瞬时异步起搏、快速心 脏起搏、感应性心颤等;② 起搏器或除颤仪系统附近组织 (特别是靠近导联端 处的心脏组织) 被灼伤;③ 电池过早耗尽;④ 装置完全失灵等。
另外,即使是MRI兼容的心脏起搏器,在进行心脏检查时依旧会有伪影,影响检查结果。

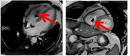
有人工心脏瓣膜和瓣膜成形环可以做磁共振吗?
答:可以的。
市面上几乎所有的人工心脏瓣膜和瓣膜成形环都是对于MRI安全的,手术后可在3.0T(含) 以下的MR扫描仪中进行检查。但由于不同厂家产品的差异性, 还是应在MRI检查前对材料进行确认。一定要与临床医生或者检查室的工作人员确认哦。
相信经过前面的介绍,大家已经对磁共振检查的禁忌有了初步的认知和了解,本文中提到的金属物品只是检查注意事项的一部分,所以当我们体内有金属植入物时,请一定要提前告知临床医生以及 MRI检查技师。检查前也建议患者身穿简便舒适的衣物和鞋子,随身的金属物品、首饰请自行收纳好。双方良好的沟通与合作是确保检查安全及获得高质量影像的基础。
(磁共振科 闫松)
copyright(c)2008 驻马店市中心医院 地址:驻马店市中华路西段747号
24小时服务热线 0396-965558
急诊:0396-2726120 2726243